تغيير مفصل الركبة يعتبر من العمليات الشائعة التي تساهم في استبدال المفصل المتضرر أو التالف بآخر صناعي ليساعدك على التحرك بشكل طبيعي والحد من الشعور بالألم، وتكون هذه العملية الحل الأخير للأطباء عند عدم فاعلية الطرق العلاجية الأخرى.

عملية تغيير مفصل الركبة في مصر 2025
عملية تغيير مفصل الركبة هو إجراء قانوني يقوم به الأطباء حتى يتم استبدال الركبة التالفة بمفصل آخر صناعي، ويلجأ الطبيب لهذه العملية حين يشعر المريض بألم شديد يتسبب في تآكل الغضروف أو تلف الأنسجة الأخرى الموجودة في المفصل.
أسباب إجراء عملية تغيير مفصل الركبة
هناك عدد من الأسباب التي قد يلجأ لها الأطباء لعملية تغيير مفصل الركبة، ومن هذه الأسباب ما يلي:
- التهاب المفاصل: ويلجأ الطبيب له بسبب تآكل الغضاريف في أطراف العظام مما يتسبب في الشعور بألم وتورم في المفصل.
- الروماتويد: هو مرض مناعي ينتج عنه حدوث التهاب المفصل وتلفه.
- النقرس: هو التهاب مفاصل يسبب ألم وانتفاخ في مفصل الركبة.
- كسور وإصابات شديدة: بعض الكسور تكون معقدة مما يتسبب في تلف الأربطة الغضروفية ويؤدي إلى الشعور بألم أو وخز شديد.
- تشوهات في شكل الركبة: ويحدث هذا التشوه بسبب تآكل في الغضاريف أو هشاشة في العظام.
- فشل الطرق العلاجية الأخرى: مثل الأدوية، العلاج الطبيعي، الحقن.
- أمراض عظمية أخرى: مثل أورام العظام مما يؤثر على مفصل الركبة.
تكلفة عملية تغيير مفصل الركبة في مصر
تتراوح تكلفة تغيير مفصل الركبة ما بين 100,000 و 220,000 جنيه مصري تقريبًا ويتحدد هذا السعر على عدة عوامل مهمة مثل خبرة الطبيب وطاقم العمل وحالة المريض وغير ذلك.
كما تعتبر عملية تغيير مفصل الركبة عملية مهمة وفعالة تساعد الأشخاص على استعادة نطاق الحركة الخاصة بهم والعودة للعيش بشكل طبيعي.
العوامل التي تؤثر في تكلفة عملية استبدال لمفصل الركبة
هناك عدد من العوامل المهمة التي يتحدد على أساسها تكلفة عملية استبدال مفصل الركبة، وأهم تلك العوامل ما يلي:
- نوع المفصل المستخدم في العملية.
- نوع الاستبدال كلي أو جزئي.
- مكان العملية ومدة الإقامة في المستشفى.
- الدكتور القائم على العملية.
- الحالة الصحية للمريض ومدى تعقيد العملية، والأمراض المصاب لها.
كل هذه العوامل يجب أن تكون على علم بها حتى تكون قادر على تحديد سعر تكلفة استبدال مفصل الركبة.

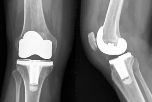
أنواع مفصل الركبة الصناعي
هناك عدد من أنواع مفاصل الركبة الصناعي وكل نوع مناسب لأشخاص معينة ويتم اللجوء له لأسباب محددة، وهي:
- معدن على بلاستيك: يعتبر هذا النوع الأكثر شيوعاً في عمليات تغيير الركبة، ويكون رأس المفصل من المعدن والجسم من البلاستيك.
- سيراميك على بلاستيك: يستخدم هذا النوع من المفصل لمن يعاني من حساسية تجاه النيكل المستخدم في المعدن ولكن قد يتسبب هذا النوع من المفصل في رد فعل مناعي على الجسم.
- سيراميك على سيراميك: يكون هذا النوع من المفاصل الرأس والجسم كلها من السيراميك وهذا لما يعاني من حساسية من المعدن ولكن مشكلته الوحيدة هو أنه يصدر أصوات عند الحركة.
- معدن على معدن: يكون مصنوع بالكامل مع المعدن ولكنه يعتبر الأقل استخدام بسبب المخاوف حوله من تسرب المعدن إلى الجسم.
متى يتم اللجوء الى عملية تبديل لمفصل الركبة؟
يلجأ العديد من الأطباء لعملية تبديل مفصل الركبة عند حدوث تلف قوي في المفصل مما يسبب الشعور بألم أو وخز قوي في الركبة، ولا يستجيب لأي طرق علاجية، كما هناك عدد من الأسباب وهي:
- ألم شديد: الإحساس بألم قوي بالرغم من أن أخذ مسكنات وهنا يشترط إجراء عملية تغيير المفصل.
- صعوبة في الحركة: يعاني الشخص الذي يشعر بألم في الركبة من صعوبة في المشي و القيام بواجباته اليومية وهذا يجعله يلجأ إلى تبديل مفصل الركبة.
- تشوه في الركبة: لو كان الركبة مشوهة بسبب حادث قوي أو تأكل فيها فهذا يستدعي القيام بعملية تبديل مفصل الركبة.
- التعرض لالتهاب أو تمزق في أربطة الركبة مما يستدعي القيام بعملية تبديل مفصل الركبة.
خطوات إجراء عملية تغيير مفصل الركبة
بعد القيام بالتشخيص والتأكد من الحالة تتطلب إجراء عملية تغيير مفصل الركبة، ويتبع الطبيب خطوات لإجراء عملية تغيير مفصل الركبة:
- يبدأ الطبيب في تخدير المريض تخدير جزئي أو كلي حسب نوع الجراحة.
- بعد ذلك الطبيب بإحداث شق في منطقة الركبة ليصل إلى المفصل المصاب.
- إزالة الأجزاء المتضررة من المفصل والعظام التالفة.
- ويتم تثبيت المفصل الاصطناعي المختار حسب وضع المريض، وبعد ذلك يقوم الطبيب بإغلاق الجرح عن طريق خياطته.

فوائد عملية تغيير الركبة
لعملية تغيير مفصل الركبة أهمية كبيرة لأنها تساعد على عودة الشخص لممارسة أنشطة حياته بشكل طبيعي كما تعود عليه بفوائد عديدة، وهي ما يلي:
- تساعد عملية تغيير مفصل الركبة على التخفيف من حدة الألم أو عدم الشعور به نهائي.
- يمكن استعادة نطاق الحركة بشكل كامل والقدرة على ممارسة الأنشطة الرياضية.
- يمكن للمريض العودة لممارسة الأنشطة التي كانت ممنوعة عنه بسبب آلام الركبة.
- تساعد عملية مفصل الركبة على زيادة استقرار الركبة مما يقلل احتمالية السقوط أو الإصابات.
- مع التقدم في تقنيات العلاج تكون مدة التعافي أقل وأسرع وهذا يجعل المريض قادر على المشي في اليوم التالي للجراحة دون قلق.
- عمر المفصل طويل الأمد وهذا يقلل من احتمالية القيام بالجراحة مرة أخرى.
نصائح بعد عملية تغيير مفصل الركبة
هناك عدد من الأمور التي يجب أن تلتزم بها حتى تضمن الحصول على تعافي سريع وناجح بعد عملية تغيير مفصل الركبة، وإليك بعض النصائح التي يجب أن تقوم بها ما يلي:
- احرص على مراجعة الطبيب عند الشعور بأي ألم في منطقة العملية.
- حافظ على الجرح نظيف وجاف.
- يجب أن تحافظ على جلسات العلاج الطبيعي.
- في حالة أن الدكتور وصف لك دواء معين احرص على أخذه في الموعد المحدد.
- عند ظهور أي أعراض غير طبيعية يجب إبلاغ الطبيب على الفور.
- تناول أدوية صحية ومتوازنة واحرص على تقليل السكريات أو الأطعمة المصنعة.
- تجنب الأنشطة الرياضية العنيفة أو المرهقة وعند المشي استخدم عصا أو مشاية.
- ابتعد عن استخدام السلالم، وعند الحاجة لذلك استخدم عكاز أو عامل مساعد.
أعراض فشل عملية تغيير مفصل الركبة
هناك عدد من الأعراض إن ظهرت فهذا يدل على فشل عملية تغيير مفصل الركبة، ومنها:
- صعوبة الحركة أو الشعور بألم حاد في الركبة.
- احمرار وتوهج مفصل الركبة.
- تيبس المفصل وعدم القدرة على تحريكه.
- شعور بعدم الراحة في مفصل الركبة وعدم القدرة على التحكم به.
- تحرك المفصل من مكانه وعدم استقراره في الركبة.
ولتفادي حدوث مثل هذه الأعراض يجب على المريض أن يراعي تعليمات الطبيب ويراجع بشكل دوري للكشف عن أي مشكلة بشكل مبكر.
ما هي اضرار عملية تغيير مفصل الركبة؟
على الرغم من الفوائد الكثيرة التي تعود على المريض عند تغيير مفصل الركبة إلى أن هناك بعض الأضرار التي قد يتعرض لها بعد العملية، ومنها:
- تعرض الجرح للتلوث أو العدوى وهذا يتطلب عناية إضافية.
- تجلط الدم وهذا قد يؤثر على مناطق عديدة في الجسم منها الرئة أو الساق.
- تلف الأعصاب المحيطة بالمفصل مما قد ينتج عنه عدم الشعور بالأطراف أو ضعف في العضلات.
هل عملية تبديل مفصل الركبة خطيرة؟
لا، تعتبر عملية تبديل مفصل الركبة حل آمن وفعال للعديد من الأشخاص ولكنه يضم بعض الأضرار والمخاطر كأي عميلة أخرى ولكن مع تطور التقنيات الجراحية أصبح الوضع آمن بشكل أكبر.
ولكن لو كان الطبيب متخصص ويمتلك خبرة كبيرة مثل دكتور عمرو أمل فسيكون تجاوز المخاطر أسهل.
متى يمكن المشي بعد عملية تغيير مفصل الركبة؟
في العادة في الأيام التي تلي العملية يحدد وقت معين لسير المريض وقد يزيد مع الوقت مثل:
- يبدأ المريض في المشي بعد العملية بشكل يومي لمدة 10 دقائق باستخدام العكاز أو المشاية.
- ثم يبدأ من 3-6 أسابيع للجوء إلى العلاج الطبيعي لتحسن من حركة المفاصل وتقوية العضلات.
- وبعد مرور 6 أسابيع يمكن للمريض المشي دون أي مواد مساعدة ولكن يشترط الحذر من الاصطدام.
- وبعد 6 أسابيع إلى 6 أشهر يمكن للمريض أن يبدأ في الجري أو ممارسة الرياضة.
ويلعب العلاج الطبيعي دور أساسي في مساعدة المريض على التعافي والعودة إلى حياته بشكل طبيعي.
ما هي نسبة نجاح عملية تغيير مفصل الركبة؟
من المتعارف عليه تكون نسبة النجاح 90%، وتتحدد نسبة نجاح عملية تغيير مفصل الركبة على عدة عوامل مهمة من أهمها:
- حالة الركبة.
- عمر المريض.
- الحالة الصحية للمريض.
- ومدى الضرر الذي وصل له العضو.
كل هذه العوامل تؤثر بشكل كبير على نجاح العملية.
دور العلاج الطبيعي بعد تغيير مفصل الركبة
يعتبر العلاج الطبيعي عامل أساسي في تحفيز المريض في الأيام التي تلي العملية، كما تعتبر عامل مهم في التغلب على الألم الذي يلي الجراحة، وهذه النقاط المهمة التي توضح أهمية العلاج الطبيعي بعد عملية تغيير مفصل الركبة:
- يساعد العلاج الطبيعي على زيادة نطاق الحركة واستعادة مرونة الجسم.
- يساهم العلاج الطبيعي على الحفاظ على توازن الجسم والقدرة على الحركة شكل متناسق.
- يقلل من التورم والألم الذي يلي العملية وذلك مع الثلج والتدليك.
- مع ممارسة التمارين المنتظمة والدقيقة يكون للعلاج الطبيعي دور مهم في حماية الجسم من الجلطات كما يمنع المضاعفات التي تلي العملية.
- يمكن للمريض أن يعود بشكل أسرع لأنشطة حياته عند الاستعانة بالعلاج الطبيعي.
- لذا من المهم أن يحافظ المريض على مواعيد جلسات العلاج الطبيعي في وقتها ولا يهملها لأنها تساعد بشكل كبير على تفادي المشاكل في المستقبل كما تساعد على التعافي بشكل أسرع.