أعراض التئام العظام بشكل خاطئ وأهم أسبابه!
آخر تحديث :
التئام العظام بشكل خاطئ يعتبر من الحالات التي قد يتعرض لها بعض المرضى أثناء الشفاء من أي كسر للعظم، حيث يحدث خطأ أثناء الالتحام أطراف العظام المكسورة فيحدث التواء أو تدوير ونمو العظم بشكل أطول أو أقصر، وخلال فقراتنا القادمة سنعرض عن أهم أعراض وأسباب التئام العظام بشكل خاطئ.

أسباب التئام العظام بشكل خاطئ
التئام العظام بشكل خاطئ تعد أحد المشكلات التي قد يتعرض لها بعض المرضى، والتي تحدث لعدة أسباب، ومنها:
- وجود الكسر في منطقة عظمية معقدة.
- الكسور قد تكون شديدة أو خطيرة مثل الكسور المفتتة والكسر الزاوي والكسر المستدير.
- التأخر في عملية العلاج المناسبة للكسر مما يعطل الالتئام وتأخره.
- سوء محاذاة العظام وذلك لاستخدام طريقة علاج غير مناسبة لحالة الكسر.
- الإصابة بعدوى بكتيرية أو التهابات دون معالجتها مما يسبب في النمو بشكل خاطئ.
- إزالة الجبيرة أو تحريك المنطقة المكسورة قبل شفائها.
أعراض التئام العظام بشكل خاطئ
في حالة التئام الخاطئ للعظام يبدأ المريض ملاحظة بعض الأعراض والتي عليه استشارة طبيب مختص للتأكد منها وإيجاد الحل المناسب لها، ومن هذه الأعراض التالي:
- ملاحظة انحناء أو التواء في منطقة العظم المكسور.
- عدم القدرة على ثني أو تمديد العظم أو إيجاد صعوبة في الحركة.
- في حالة الكسر في اليد أو القدم قد يلاحظ المريض ابتعاد أحد الأصابع عن المجاور له ويصبح في وضعية المقص.
- تصلب المنطقة المصابة بالكسر والشعور بالألم عند محاولة تحريكها.
- وجود تورمات شديدة في المنطقة المصابة ووجود التهابات والشعور بألم حاد فيها.
- عدم القدرة على استخدام الجزء المصاب في وظائفه المعتادة.
- وجود تشوهات في المنطقة المصابة وعدم قدرتها على تحمل أي ضغط عليها.
طرق تشخيص التئام العظام بشكل خاطئ
في حالة التعرض لالتئام العظام بشكل خاطئ لابد من الإسراع إلى الطبيب المختص من أجل تشخيص الحالة وإيجاد الحل المناسب لها، حيث يخضع المريض لمجموعة من الإجراءات التشخيصية، ومنها:
- التشخيص السريري: وخلال هذا الإجراء يبدأ الطبيب بفحص مبدئي لمكان التئام الكسر حيث يتأكد من الأنشطة اليومية التي كان يقوم بها المريض خلال فترة الالتئام، والإصابات الكسور السابقة التي قد يكون قد تعرض لها، وفحص المنطقة ومحاولة تحريكها.
- اختبارات الدم: يقوم المريض بمجموعة من التحليل من أجل التأكد من عدم وجود أي مشكلة أو نسبة الإصابة بمرض قد تكون السبب في عدم التئام العظم بشكل صحيح مثل مرض السكري، أو وجود مشكلة في الأوعية الدموية.
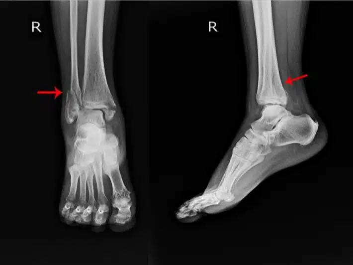
- الأشعة السينية: يخضع المريض في العادة إلى أشعة (x- ray) من أجل تحديد الصورة الهيكلية للعظم والتي مع سوء الالتئام قد تظهر في الأشعة على هيئة فراغات غير طبيعية.
- التصوير بالرنين المغناطيسي: هذا النوع من الإجراءات تساعد الطبيب من التأكد من إصابة أو سلامة الأنسجة الداخلية سواء في الأوتار أو العضلات، وتتميز بجودة تصويرها وتحديده بشكل جيد.
- التصوير المقطعي المحوسب: يتم استخدام هذه الأشعة من أجل الحصول على تصور واضح للإصابة من الداخل من جميع الاتجاهات لتحديد المشكلة بشكل أوضح وبشكل أدق خاصة في حالة التئام الخاطئ.
كيف تحدث عملية التئام الكسور؟
عملية التئام العظام المكسورة واحدة من العمليات الفسيولوجية التي يقوم بها الجسم من أجل إعادة توازن الجسم، وقد تحتاج بعض الأمور الطبية الخارجية لتحسين وضع العظام ونموها بشكل صحيح، وتمر عملية التئام بثلاثة مراحل رئيسية كالاتي:
مرحلة الالتهاب
تعد المرحلة الأولية التي يحدث فيها الكسر ومحاولة الجسم التعرف على المشكلة وعلاجها، وتستمر في العادة من 7 لـ 14 يوم حتى يبدأ الانتقال لمرحلة الترميم، حيث يظهر في المنطقة تورم والتهابات التي تشير إلى وجود مشكلة ولابد من علاجها.
وخلال هذا الوقت ومع بداية الكسر يرسل الجسم إشارات للمخ من أجل توصيل الخلايا المسؤولة عن ترميم العظم وحمايته من أي بكتيرية إلى المنطقة المصابة، ومع الإصابة يحدث انفجار للأوعية الدموية التي تشكل تجلطات حول العظام المكسورة.
مرحلة الترميم والإصلاح
هذه المرحلة هي التي تلى مرحلة الالتهابات والتي يبدأ فيها مرحلة إعادة ترميم الكسور، وقد تستغرق حوالي 7 أيام من التعرض للكسر حيث يتم فيها الالتحام العظام المكسورة وربطها ببعض بواسطة عظام رخوة أو ما تعرف بالكالس والتي تبدو ناعمه وضعيفة في البداية ولكن مع مرور الوقت تبدأ في التصلب بقوة وعدم قدرة العظام على التحرك وفي هذه المرحلة قد يتم تركيب جبيرة من أجل تثبيت العظام وحمايتها من أي ضرر أخر.
مرحلة إعادة البناء
تعد المرحلة الأخيرة في عملية التئام العظام المكسورة حيث تستغرق من 6 لـ 10 أسابيع، حيث تعود العظام لوضعها الطبيعي، وذلك بمجرد أن تحل عظام العادية محل العظام الرخوة وعلى الرغم من كونها في البداية تبدو أنها غير متساوية مع بعضها إلا مع مرور عدة أسابيع ستعود لشكلها الطبيعي والمميز.
مدة التئام العظام
تعتبر عملية التئام العظام واحدة من العمليات الحيوية التي تستغرق وقت من أجل إعادة العظام وأشكالها لوضعها الطبيعي والعودة لنشاطها وأعمال الحيوية الطبيعية، وقد تستغرق عملية التئام العظام المكسورة من شهرين لـ 3 شهور كحد أدني.
ولكن هذا الوقت قد يزيد أو يقل وفقًا للعديد من الأمور والعوامل المهمة، ومنها:
- مكان العظام المكسورة ومدى عمقها وشدتها.
- سن المريض حيث كلما كان سن المريض أصغر كلما كان التئام أسرع.
- الحالات المرضية التي قد يعاني منها المريض وقد تؤثر بالسلب على عملية التئام.
- نوع الإجراء العلاجي الذي تم استخدامه لإعادة ترميم العظام سواء (جراحي أو غير جراحي)
- مدى اهتمام المريض بتعليمات الطبيب والالتزام بها خلال فترة التعافي.
“احصل على التشخيص الدقيق والتدخل العلاجي المناسب لعلاج الكسور المختلفة للعظام من خلال خبرة الدكتور عمرو أمل أفضل دكتور عظام ومفاصل واحصل على العلاج المثالي.”
طرق تسريع عملية التئام الكسر
هناك بعض الطرق التي يمكن للمريض اتباعها من أجل مساعدة الجسم على تسريع عملية التئام العظام المكسور بشكل آمن وسريع، ومنها:
- تجنب القيام بأي نشاط بدني أو حركة في المنطقة المكسورة خلال فترة تركيب الجبيرة والتئام العظام.
- التوقف عن التدخين على الأقل خلال فترة التئام العظام المكسورة والتي تؤثر على الخلايا التي تساعد ترميم عظام الجسم.
- تناول الأطعمة الصحية والغنية بالألياف فيتامينات والعناصر الغذائية المختلفة مثل (كالسيوم، والزنك، والفوسفور، والمغنيسيوم)
- تناول الأدوية والالتزام بمواعيدها التي حدد الطبيب المختص والابتعاد عن أي دواء قد يسبب تباطئ في عملية التئام.
- الانتباه إلى معدل ونسب الأمراض المزمنة في الجسم والتي قد يسبب زيادتها أو نقصانها مشاكل في عملية الالتئام مثل (السكري أو الضغط أو الأمراض المتعلقة بالأوعية الدموية والهرمونات)
- التأكد من المتابعة مع الطبيب المختص بشكل دوري خاصة في حالة التعرض لأي مشكلة أو مضاعفات (الالتهابات والصديد)
مضاعفات عدم التئام العظام
في حالة عدم التئام العظام المكسورة قد يتعرض المريض لبعض المضاعفات التي قد تظهر مع إهمال المريض لتعليمات الطبيب خلال فترة الالتئام، ومنها:
- التعرض للالتئام الخاطئ للعظام المكسورة.
- عدم التحام العظام بشكل دائم في حالة تعرضها للكسر مرة أخرى.
- الإصابة بعدوى فيروسية أو بكتيرية في المنطقة المصابة والتي تظهر على هيئة التهابات أو أحمرار أو تورمات أو صديد.
- عدم القدرة على الحركة في المنطقة المصابة وذلك لتعرض أعصابها للتلف أو الضغط عليها بشكل شديد.
التئام العظام عند الأطفال
يعتبر الأطفال الأكثر عرضة للصدمات والإصابة بالكسور في العظم وذلك لنشاطهم الدائم معظم الأوقات، والأطفال في العادة غير قادرين عن التعبير عن الألم أو التعرف عليه بشكل جيد فقد تكون الأعراض التالية إشارة إلى تعرض الطفل لكسر في العظم، مثل:
- شعور الطفل بألم حاد في المنطقة المصابة والتي في العادة سيشير عليها.
- ظهور تورمات في المنطقة المكسورة.
- عدم القدرة على تحريك الجزء العظمي المكسور أو استخدامه مثل مسك شي باليد المكسورة أو المشي بالرجل المكسورة.
- وجود بقع زرقاء تشبه الكدمات في المنطقة التي تعرضت للكسر.
- ظهور التهابات واحمرار شديد في المنطقة المكسورة في حالة اكتشافها في وقت متأخر.
في حالة الاكتشاف المبكر للكسر الخاص بالأطفال يمكن التسريع عملية الالتئام وذلك لأن الأطفال يتميزون بسرعة التئام أكثر من البالغين وكبار السن، وذلك لامتلاكهم عظام أكثر كثافة وأقل في المعادن، بالإضافة أن نسبة الفيتامينات والكالسيوم موجودة بشكل طبيعي ومعتدل.
“استمتع بالراحة والثقة في حياة بلا آلام مع علاج العظام المكسورة بواسطة الدكتور عمرو أمل أفضل دكتور جراحة عظام في مصر وتحت إشراف فريق طبي متخصص.”

